تجمع Surgery Turkiye بين الخبرة الطويلة في تقديم خدمات الأسنان الحديثة والتقنيات المتطورة، بالإضافة إلى تقديم الأسعار التنافسية. نحن نستخدم أحدث التقنيات لضمان أفضل النتائج بأعلى مستوى من الراحة والجودة.
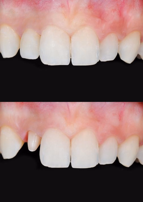
تاج الأسنان هو غطاء خارجي يتم وضعه على الأسنان المتضررة أو الضعيفة لتغطيتها وحمايتها من المزيد من التلف. يمكن استخدام التاج لتحسين مظهر الأسنان المكسورة أو المتشققة أو المتآكلة، وكذلك لترميم الأسنان بعد علاج الجذور. تاج الأسنان يُعد من الحلول الجمالية والطبية في مجال طب الأسنان، حيث يوفر حماية للأسنان من التلف ويُحسن مظهر الابتسامة. تقدم Surgery Turkiye خدمات تركيب تاج الأسنان باستخدام أحدث التقنيات لضمان أفضل النتائج للمرضى.
تختلف تكلفة تركيب تاج الأسنان بناءً على عدة عوامل مثل نوع التاج المستخدم (بورسلين، سيراميك، معدن مغطى بالبورسلين، إلخ)، عدد الأسنان التي تتطلب التاج، والخبرة الطبية للطبيب المعالج. ومع ذلك، تُعتبر تركيا وجهة اقتصادية لعمل تاج الأسنان، حيث يمكن للمرضى الحصول على علاج عالي الجودة بأسعار منخفضة مقارنة بالدول الغربية.
غالبًا ما تشمل تكلفة تركيب تاج الأسنان في تركيا العديد من الخدمات مثل الاستشارات الأولية، فحص الأسنان، تصميم التاج، وتركيبه. للحصول على تقدير دقيق للتكلفة، يُنصح بطلب عرض سعر مخصص. في Surgery Turkiye، نقدم استشارات مجانية لمساعدتك في تحديد التكلفة المثلى بناءً على حالتك.


تجمع Surgery Turkiye بين الخبرة الطويلة في تقديم خدمات الأسنان الحديثة والتقنيات المتطورة، بالإضافة إلى تقديم الأسعار التنافسية. نحن نستخدم أحدث التقنيات لضمان أفضل النتائج بأعلى مستوى من الراحة والجودة.
جراحونا في Surgery Turkiye متخصصون في تركيب تاج الأسنان ولديهم سنوات من الخبرة في تقديم هذا العلاج باستخدام تقنيات دقيقة وآمنة.
نعم، Surgery Turkiye هي علامة رائدة وموثوقة في مجال السياحة العلاجية. نحن نساعد المرضى من جميع أنحاء العالم في استعادة وظائف الأسنان وتحسين مظهر ابتسامتهم باستخدام تاج الأسنان بأسعار معقولة وجودة عالية.
باختيارك Surgery Turkiye، تحصل على رعاية طبية عالية الجودة بأسعار معقولة، بالإضافة إلى الدعم الكامل طوال فترة العلاج من الاستشارة حتى التعافي النهائي. كما نقدم تسهيلات السفر والإقامة للمرضى الدوليين.
كنت أعاني من مشكلة في أحد أسناني الأمامية، وبعد تركيب تاج الأسنان في Surgery Turkiye، أصبحت الابتسامة أكثر جمالًا وطبيعية. العملية كانت سلسة جدًا.
بعد إجراء علاج الجذور، كان لدي حاجة لتركيب تاج الأسنان. تجربة Surgery Turkiye كانت رائعة، والنتيجة مذهلة. شعرت بالراحة من بداية العملية حتى نهايتها.
أصبح لدي تاج أسنان جديد في Surgery Turkiye، والنتائج كانت رائعة. أشعر الآن أن أسناني أصبحت أكثر قوة وجمالًا، والأطباء كانوا محترفين للغاية.

تبدأ العملية بالاستشارة مع طبيب الأسنان، حيث يتم فحص الأسنان وتحديد الحالة بشكل دقيق. سيقوم الطبيب بتقييم حاجة الأسنان إلى تاج بناءً على مستوى التلف أو التآكل، وقد يتم التقاط صور شعاعية (X-rays) لتحديد حالة الأسنان بدقة.

في هذه الخطوة، يتم تحضير السن المتضرر من خلال إزالة جزء من المينا والأنسجة التالفة للحصول على قاعدة ثابتة لزرع التاج. في بعض الحالات، قد يتم أخذ قالب للسن المحضر لإرساله إلى المختبر لتصنيع التاج.
بعد تصنيع التاج في المختبر، يتم تركيب التاج على السن المحضر باستخدام مواد لاصقة قوية. يتم التأكد من أن التاج يتناسب بشكل مثالي مع السن والفك لضمان مظهر طبيعي ووظيفة سليمة.

بعد تركيب التاج، ستقوم بزيارة الطبيب للتأكد من أن التاج ثابت في مكانه ويعمل بشكل طبيعي. عادةً ما يكون التعافي سريعًا جدًا ولا يتطلب أي وقت طويل للتعافي، ولكن من المهم الحفاظ على نظافة الأسنان وزيارة الطبيب بانتظام.
يعمل التاج على تحسين شكل الأسنان المتضررة، مما يعيد لها مظهرًا طبيعيًا وجمالًا.
يساعد التاج في استعادة وظائف الأسنان المفقودة أو التالفة مثل المضغ والتحدث بشكل طبيعي.
تكلفة تركيب تاج الأسنان في تركيا تعتبر منخفضة مقارنة بالدول الغربية، مما يجعلها خيارًا اقتصاديًا رائعًا للحصول على علاج ذو جودة عالية.
نحن نعمل مع جراحين متخصصين في تركيب تاج الأسنان الذين يستخدمون تقنيات متطورة لضمان أفضل النتائج.


عادة ما يظهر تأثير تركيب تاج الأسنان بشكل فوري، حيث ستلاحظ مظهرًا أكثر جمالًا وراحة. سيوفر التاج لك مظهرًا طبيعيًا وأداء وظيفي للأسنان المفقودة أو التالفة. النتائج عادة ما تكون طويلة الأمد وتستمر لعدة سنوات بشرط العناية الجيدة بالفم.
تركيب تاج الأسنان هو حل مثالي لحماية الأسنان التالفة وتحسين مظهرها، حيث يعيد لك الابتسامة الواضحة والوظيفة الطبيعية للأسنان. إذا كنت تفكر في تحسين صحة أسنانك ومظهر ابتسامتك، فإن تركيب تاج الأسنان في Surgery Turkiye هو الخيار المثالي لك.